(+99412) 449 82 55

2D PANORAM RENTGEN

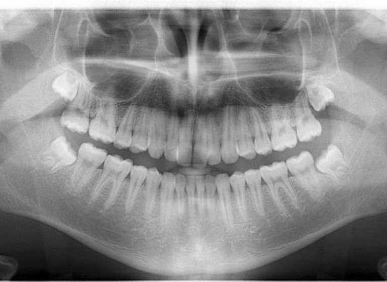
Panoram rentgen bütün dişlərin, alt və üst çənənin şəkli, buradakı patologiyaların tək bir şəkildə görülməsini təmin edən üsuldur.
Panorom rentgen nə üçün lazımdır?
- Panoram rentgen müalicənin planlaşdırmasının aparılmasına kömək edir.
- Panoram rentgenə çənə və dişlərdə gözlə görünməyən kista və şiş kimi törəmələrin diaqnostikasında ehtiyac duyulur.
- Çənə və dişlərlə bağlı cərrahi müdaxilələrdən öncə bu üsuldan mütləq istifadə olunmalıdır. Çünki bu rentgenlər müalicə aparılacaq sahəni geniş bir şəkildə göstərir.
- Bütün dişlərin görüntüsü tək bir rentgen şəklində görülə bilir.

 

(010) 220 02 12